인류 마지막 시험 ― 조직 병리학편
추천글 : 【생물학】 23-1강. 조직병리학 예제
이 문제들은 Humanity's Last Exam에서 발췌된 문제입니다.
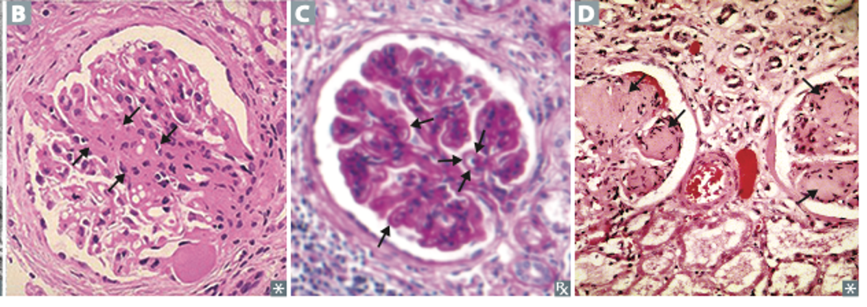
문제 1. 저는 현재 다양한 형태의 신장 질환, 특히 신증후군을 공부하고 있습니다. 이 병리의 발생을 예방하는 데 예방적 투석이 효과가 있을 가능성을 규명하기 위해 실험을 수행하고자 합니다. 저는 서로 다른 신증후군으로 진단된 환자들의 신장 생검에서 채취한 조직병리 표본을 분석하고 있습니다. 제시된 모든 샘플은 투석 치료 이전에 채취된 것입니다. 첨부된 이미지는 모두 광학 현미경(으로 촬영되었고, 헤마톡실린-에오신(H&E) 염색을 사용했습니다. 이미지를 바탕으로, 다음 진술 중 참인 것을 고르세요.

1. 이미지 B와 D는 분절성 사구체 경화가 보이며 Kimmelstiel–Wilson 병변은 없고, hyalinosis와 모세혈관 고리의 collapse가 동반되어 있다.
2. 이미지 C는 호산성 결절성 사구체경화가 보이고, mesangial matrix expansion과 세동맥의 hyaline 침착이 관찰되어 미세혈관 침범을 시사한다.
3. Bowman 주머니의 effacement가 이미지 C와 D에서 관찰된다.
4. 이미지 D에서 화살표가 가리키는 것은 세포외 기질 침착으로, 결절성 사구체경화를 시사한다.
A. [1, 2]
B. [3]
C. [2]
D. [1, 3, 4]
E. [1, 4]
F. [1]
G. [2, 4]
H. [3, 4]
I. [4]
J. [2, 3]
K. [2, 3, 4]
L. [1, 2, 3]
M. [1, 2, 4]
N. [1, 2, 3, 4]
O. [1, 3]
답 1. I.
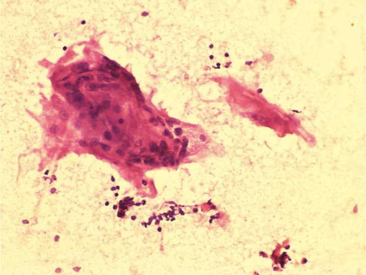
문제 2. 28세 여성이 터키안장(sella turcica) 부위에 종괴가 있습니다. 수술 중 채취한 표본이 병리검사를 위해 보내졌습니다. 첨부된 이미지는 해당 조직의 크러시 스미어(crush smear, 압착 도말)에서 얻은 사진입니다. 진단은 무엇입니까?

답 2. 진균 감염
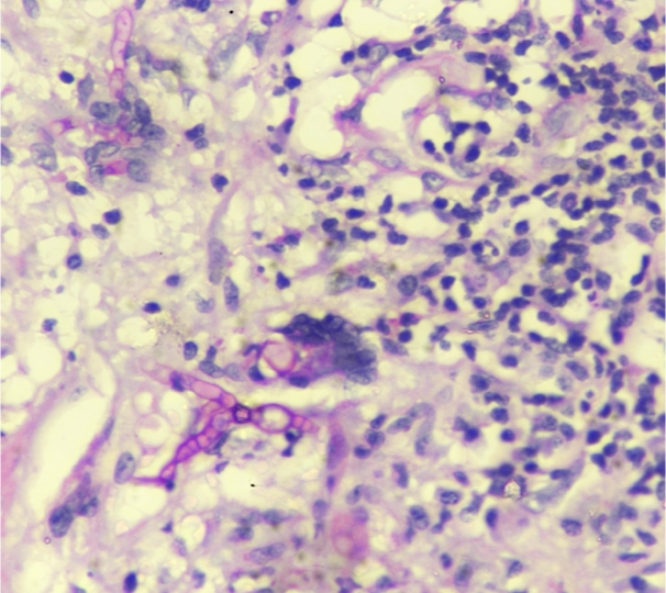
문제 3. 28세 여성이 터키안장(sella turcica) 부위의 종괴로 내원했습니다. 절제된 병변의 조직병리 절편 사진이 첨부되어 있습니다. 진단은 무엇입니까?

답 3. 진균 감염
문제 4. 박사과정 동안 저는 노화된 뇌에서의 그렐린성 시스템을 연구했습니다. APT1 효소의 분포를 조사하기 위해, 건강한 노인 대조군(WT), 파킨슨병(PD) 진단 환자, 그리고 치매를 동반한 파킨슨병(PDD) 진단 환자의 fixed-frozen 해마 조직에 대해 anti-APT1 항체를 사용한 DAB 면역조직화학염색을 수행했습니다. 주어진 이미지를 고려할 때, 다음 진술 중 참일 가능성이 더 높은 것을 고르세요.

A. APT1 면역양성 세포 수는 대조군 뇌에서 679.6 ± 59.32 cells/mm², PD 뇌에서 302.1 ± 111.5 cells/mm², PDD 뇌에서 283.2 ± 42.26 cells/mm²로 정량되었다.
B. 그룹 간 유의미한 차이가 보고되지 않았으며, 이는 질병의 서로 다른 단계의 환자 뇌에서 APT1 효소가 정상적으로 유지됨을 시사한다.
C. 어떤 샘플에서도 APT1 염색이 검출되지 않았다.
D. PDD 뇌에서 APT1 면역양성 세포 수가 유의하게 증가했으며, 이는 질병의 후기 단계에서 APT1 조절 이상을 시사한다.
E. 질병의 서로 다른 단계의 환자 뇌에서 APT1 효소가 정상적으로 유지됨은, 노화로 인해 de-palmitoylation이 손상되어 있음을 시사한다.
답 4. B
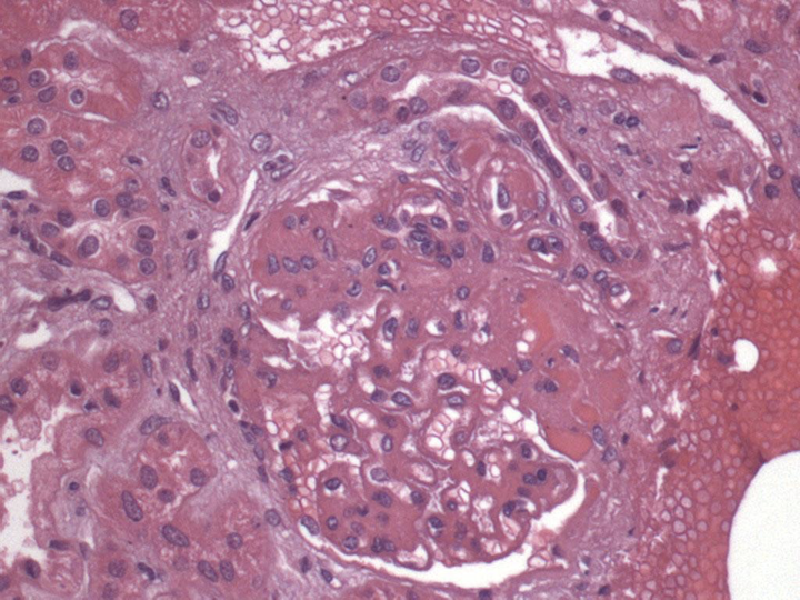
문제 5. 이 이미지의 조직병리학적 진단은 무엇입니까?

답 5. 국소 분절성 사구체 경화증
문제 6. 제공된 이미지에 따르면 이 병변은 어떤 우식 분류 코드에 해당합니까?

답 6. ICDAS CODE 3
입력: 2026.03.02 11:43
'▶ 자연과학 > ▷ 일반생물학' 카테고리의 다른 글
| 【생물학】 BCA assay (0) | 2016.06.24 |
|---|---|
| 【생물학】 30-4강. 연못 속 미생물 (5) | 2016.06.22 |
| 【생물학】 3-3강. 효소의 다른 자리 입체성 조절 (5) | 2016.06.22 |
| 【생물학】 HLA (0) | 2016.06.20 |
| 【생물학】 p53 (TP53) (0) | 2016.06.20 |
최근댓글