2023 MEET/DEET 생물학
추천글 : 【생물학】 MEET/DEET 생물학 풀이
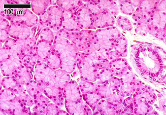
1. 그림 (가) ~ (마)는 각각 사람의 서로 다른 조직을 나타낸 것이다. 이에 대한 설명으로 옳은 것은?
⑴ 문제

⑵ 풀이 : ②
○ 동물의 체계화 수준, 혈액, 근육의 종류
① (가)는 침샘 조직(salivary gland)으로 입방상피조직으로 분류됨
② (나)는 3개의 특징적인 핵을 보여주는 호중구(중성 백혈구)를 보여주고 있어 혈액이고, 그래서 결합조직에 속함

③, ④ (다)는 원통형 다발 형태이므로 골격근이고, (라)는 사이원반이 있어 심장근

⑤ 지방 방울 구조가 보이므로 지방 조직
2. 그림은 사람 간세포에서 일어나는 포도당 대사 과정의 일부를 나타낸 것이다. 정상인에 비해 포도당 6-인산분해효소(glucose 6-phosphatase) 결핍 환자에서 나타나는 현상으로 옳은 것만을 ⟨보기⟩에서 있는 대로 고른 것은?
⑴ 문제

⑵ 풀이 : ③
○ 포도당 합성
○ ㄱ : glucose-6-phosphatase는 포도당 6인산 → 포도당 전환에 관여하는 효소 (암기사항). 따라서 포도당 6-인산이 포도당으로 안 가서 많아져서 피루브산, 리보스 5-인산, 포도당 1-인산, 글리코겐의 증가를 초래함
○ ㄴ : 포도당이 줄어듦으로 공복 혈당 농도가 낮아짐
○ ㄷ : 피루브산의 과도한 증가는 피루브산을 반응물로 하는 젖산 발효 반응을 촉진함. 생리적으로는 NADH가 과도하게 많아져 이를 NAD+로 돌리기 위해 피루브산을 젖산으로 발효시키는 (세포호흡에 비해) 비효율적인 반응을 일으키는 것
3. 다음은 생쥐 간세포로부터 분리한 미토콘드리아 현탁액에 숙신산, ADP + Pi, 올리고마이신, DNP를 순서대로 첨가하면서 측정한 산소 소모량과 ATP 농도를 나타낸 자료이다. 이 자료에 대한 설명으로 옳은 것은?
⑴ 문제

⑵ 풀이 : ②
① 숙신산의 전자는 FAD로 전달됨 (암기사항)

② 맞는 설명 (안 될 이유가 있나?)
③ 올리고마이신 첨가 이후 ATP 합성이 중지되므로 올리고마이신은 ATP와 결합함 (암기사항). 참고로, 세포호흡 저해제는 암기사항
○ Ⅰ 억제제 : 로테논(rotenone), 바르비투르산, 피에리시딘
○ Ⅱ 억제제 : 말론산
○ Ⅲ 억제제 : 안티마이신
○ Ⅳ 억제제 : CN-, CO
○ ATP 합성효소 억제제 : 올리고마이신
○ 짝풀림제 : DNP(2,4-dinitrophenol), FCCP, valinomycin, 써모제닌
④ 산소 소모량이 증가하므로 전자전달이 오히려 빨라짐. 단, DNP는 짝풀림제로 미토콘드리와 기질과 내막 간의 수소이온 농도 기울기가 완만해지는 것
⑤ KCN은 미토콘드리아 전자전달계 중 하나인 복합체 Ⅳ를 억제하므로 최종 전자수용체인 산소로의 전자전달이 차단돼 ATP 생성량 감소
4. 그림은 어떤 세균에 존재하는 지질다당체(LPS)의 구조를 나타낸 것이다. 이에 대한 설명으로 옳은 것만을 ⟨보기⟩에서 있는 대로 고른 것은?
⑴ 문제

⑵ 풀이 : ⑤
○ 그람음성균 : 원형질 - 세포막 - 주변세포질공간 - 얇은 펩티도글리칸 - 주변세포질공간 - LPS, 외막(outer membrane)
○ ㄱ : LPS는 그람음성균의 특징
○ ㄴ : 맞는 설명
○ ㄷ : LPS가 지질(lipid A) + 다당류 구조인데, 다당류는 구조가 너무 다양해서 그람음성 공통 위험 신호로 쓰기엔 불리함. 숙주가 가장 강하게 반응하도록 진화한 인식 타깃인 내독소는 지질 부분을 인식해야 함. 실무적으로도 당화가 일어난 부분은 약물 타겟으로도 사용하지 않음
5. 그림은 어떤 동물에서 교감신경 자극에 의한 심방압과 대동맥 혈류량의 변화를 나타낸 것이다. 이 동물의 교감신경을 자극하는 동안 자극 전과 비교하여 심혈관계에서 일어나는 변화로 옳은 것만을 ⟨보기⟩에서 있는 대로 고른 것은?
⑴ 문제


⑵ 풀이 : ①
○ 혈류량 조절
○ ㄱ : 교감신경 자극 → 심박수 ↑, 수축력↑ → 심박출량 = 심실에서 1분 동안 박출하는 혈액의 양 = 심실의 부피 변화량 × 1분 동안의 박동수 ≃ 1분 동안 전달된 대동맥 혈류량
○ ㄴ : 중심정맥압(central venous pressure, CVP)은 우심방 바로 앞 압력이라서 우심방 압력과 거의 유사함
○ ㄷ : 다음과 같이 여러 관점에서 검토해볼 수 있음
○ 교감신경 자극은 "fight or flight"를 위해 혈압 증가, 혈액량 증가를 일으키기 때문에 주어진 항은 증가해야 함
○ 대동맥 혈류량 증가가 주요 변화이므로 동맥 혈관계 혈액량의 절대량 및 상대량 증가
○ 정맥 혈관계 혈액량은 중심 정맥인 경우 증가할 수는 있음 (∵ 연속방정식)
○ 단, 혈압 증가는 림프액 증가로도 이어져 중심 정맥 혈액량은 중심 동맥 혈액량과 동일하지 않을 수 있고, 정맥 혈관계 혈액량은 말초 정맥의 경우 감소할 수도 있음 (∵ 정맥 수축)
6. 그림은 물질이 근위세뇨관을 따라 이동할 때, 근위세뇨관에서의 상대적 위치에 따른 [세뇨관 내 물질] / [혈장 내 물질]를 나타낸 것이다. 물질 ㉠ ~ ㉢은 이눌린, 포도당, Na+을 순서 없이 나타낸 것이다. ㉠ ~ ㉢을 바르게 짝지은 것은?
⑴ 문제

⑵ 풀이 : ①
○ 배설계
○ ㉢ : 포도당은 근위세뇨관에서 100% 재흡수됨
○ ㉡ : Na+가 재흡수되고 전하 균형을 위해 Cl-가 재흡수되므로 Cl-와 그래프 형태가 유사한 ㉡이 Na+
○ ㉠ : 이눌린은 세뇨관을 통한 분비와 재흡수가 일어나지 않는데 (암기사항), 물의 재흡수 증가로 세뇨관 내 농도가 증가하게 됨
7. 다음은 생쥐의 정자형성 시 일어나는 DNA 메틸화에 의해 유전자 A의 발현이 결정되는 유전자 각인에 대한 자료이다. 이에 대한 설명으로 옳은 것만을 ⟨보기⟩에서 있는 대로 고른 것은?
⑴ 문제

⑵ 풀이 : ②
○ 유전과 유전학
○ ㄱ : 우선 메틸화 여부와 A+/A-는 따로 생각해야 함을 유의. 정자 형성 과정에서 메틸화가 일어나고, P 세대 수컷은 A-A-라고 나와 있으므로 메틸화된 쪽이 A-. 맨 처음 설명에 메틸화가 있어야 유전자 A가 발현된다고 나와 있으므로 A+,not met A-,met인 F1 수컷은 A+,met 인자가 없어서 ⓐ 형질이 발현되지 않음
○ ㄴ : 탈메틸화 후 새로 메틸화가 다시 설정되는 de novo methylation임. 기존 패턴이 유지되는 유지 메틸화가 아님
○ ㄷ : 난자로부터 A+,not met이 전달되고 F1의 정자로부터 A+,met (50%), A-,met (50%)이 전달되므로 A+,met 인자가 있어서 ⓐ 형질이 발현될 확률은 50%임을 쉽게 알 수 있음
8. 표는 저해제 A와 B가 각각 있을 때와 없을 때, 기질 농도에 따른 어떤 효소의 초기 반응 속도를 나타낸 것이다. 이에 대한 설명으로 옳은 것만을 ⟨보기⟩에서 있는 대로 고른 것은? (단, 이 효소 반응은 미카엘리스-멘텐 방정식을 만족한다.)
⑴ 문제

⑵ 풀이 : ④
○ ㄱ : V = Vmax [S] / ([S] + KM) ⇔ 1/V = 1/Vmax + (KM / Vmax) / [S]. (1/[S], 1/V) = (2, 3), (1, 2), (0.5, 1.5), (0.25, 1.25)를 지나므로 1/V = 1 + 1 / [S]. 따라서 Vmax = 1, KM = Vmax = 1 mM
○ ㄴ : 저해제 A가 있을 때, (1/[S], 1/V) = (2, 4), (1, 3), (0.5, 2.5)를 지나므로 1/V = 2 + 1 / [S]. 따라서 1 / Vmax = 2 ⇔ Vmax = 0.5 mM/min
○ ㄷ : 저해제 B가 있을 때, (1/[S], 1/V) = (2, 4), (1, 2.5)를 지나므로 1/V = 1 + 1.5 / [S]. 따라서 Vmax가 저해제가 없을 때와 동일하므로 경쟁적 저해제
9. 다음은 어떤 동물의 털색 유전에 대한 자료이다. 이에 대한 설명으로 옳은 것만을 ⟨보기⟩에서 있는 대로 고른 것은?
⑴ 문제

⑵ 풀이 : ⑤
○ 유전과 유전학
○ ㄱ : 노란 수컷과 노란 암컷은 항상 노란 자손을 낳으므로 노란색은 열성. 즉, E는 E*에 대해 우성. 따라서 (가)와 (나)는 각각 __EE*와 __E*E*. (가)는 갈색 털이므로 B*B*EE*임을 쉽게 알 수 있음. 따라서 (가)와 (나)의 F1이 검은색 : 갈색 : 노란색 = 1 : 1 : 2가 되려면 (나)는 BB*E*E*.
○ ㄴ : F1의 ⓑ와 ⓔ의 유전자형이 모두 동형이라면 그 개체는 B*B*E*E*. 따라서 그 확률은 ℙ(B*B*) × ℙ(E*E*) = (1/2) × (1/2) = 1/4
○ ㄷ : BB*EE* × BB*EE* 결과 B*B*E_가 나와야 하므로 ℙ(B*B*) × ℙ(E_) = (1/4) × (3/4) = 3/16
10. 다음은 반수체 단세포 조류인 클라미도모나스(Chlamydomonas)에서 항생제 저항성의 유전에 대한 실험이다. 이에 대한 설명으로 옳은 것만을 ⟨보기⟩에서 있는 대로 고른 것은?
⑴ 문제

⑵ 풀이 : ③
○ 유전과 유전학
○ ㄱ : mt+ 형의 비율은 곧 배우체 중 mt+ 형의 핵이 들어갈 비율이므로 감수분열을 떠올리면 쉽게 1/2임을 알 수 있음
○ ㄴ : F1의 엽록체는 모두 mt+ 형에서 비롯되므로 mt+ 형에 있던 E에 대한 저항성이 전부 유전됨
○ ㄷ : mt+Esensitive × mt-Eresistant 접합 결과 엽록체는 모두 mt+ 형에서 비롯되므로 mt+ 형에 있던 E에 대한 민감성이 전부 유전됨. 따라서 F2 중 E에 대한 저항성을 갖는 mt+ 형의 비율은 0 (mt+ 형의 비율이 1/2인 것으로 오답 지문을 만듦)
11. 그림은 사람 체세포에서 세포 주기의 Ⅰ ~ Ⅳ 시기 동안 cyclin A와 cyclin B의 농도 변화를 나타낸 것이다. Ⅰ ~ Ⅳ는 G1기, G2기, M기, S기를 순서 없이 나타낸 것이고, ㉠과 ㉡은 각각 cyclin A와 cyclin B 중 하나이다. 이에 대한 설명으로 옳은 것만을 ⟨보기⟩에서 있는 대로 고른 것은?
⑴ 문제

⑵ 풀이 : ④
○ 세포주기의 조절
○ ㄱ : 그래프가 연속이려면 Ⅰ, Ⅱ, Ⅲ, Ⅳ는 연속된 시간 구간임은 자명함. S 검문점에는 사이클린 A가 관여하고, G2 검문점에는 사이클린 B가 관여함 (암기사항). 시기상 ㉡이 ㉠보다 더 뒤이므로 ㉠은 사이클린 A, ㉡은 사이클린 B임을 알 수 있음. ㉡이 피크를 보이는 지점(G2 검문점)이 G2기와 M기의 경계(암기사항)이므로 Ⅰ, Ⅱ, Ⅲ, Ⅳ는 각각 S기, G2기, M기, G1기.
○ (참고) 효모의 G2 검문점 : CDK1, CDC25, Wee1과 관련
○ ㄴ : G1기랑 S기 둘 다 핵막이 있고 염색질이 풀려 있어 핵상은 같음. 단, DNA 양은 달라서 G1은 2C, S는 2C → 4C
○ ㄷ : 핵막이 사라지는 지점은 M기 중 전기 (더 구체적으로는 전중기(prometaphase))
12. 그림은 세포내 소기관 ⓐ에서 일어나는 단백질의 N-결합 글리코실화 반응(N-linked glycosylation)을 나타낸 것이다. 이 과정에서 세포내 소기관 막의 ㉠에 부착되어 있는 핵심 올리고당이 올리고당 전달효소에 의해 표적 단백질로 이동한다. 이에 대한 설명으로 옳은 것만을 ⟨보기⟩에서 있는 대로 고른 것은?
⑴ 문제

⑵ 풀이 : ①
○ N-당화(N-linked glycosylation)
○ ㄱ : N-당화는 소포체에서 아스파라긴(Asn) (N)-결합 (암기사항)
○ ㄴ : 단백질은 친수성이므로 인지질 이중층 내에 있을 수 없음. 실제로는 돌리콜(dolichol, 지질) 계열인데, 암기사항은 아님
○ ㄷ : N-당화는 주로 세포막 단백질을 대상으로 함. 따라서 표적 단백질이 있는 공간은 세포 외와 위상이 동일한 소포체 내부
13. 다음은 대장균의 엿당(maltose) 오페론 중 하나인 malPQ의 전사 조절에 대한 자료이다. 이에 대한 설명으로 옳은 것만을 ⟨보기⟩에서 있는 대로 고른 것은? (단, 자료에 제시된 조절 기전 이외의 다른 요인에 의한 영향은 고려하지 않는다.)
⑴ 문제

⑵ 풀이 : ②
○ 젖당 오페론
○ ㄱ : 젖당 오페론과 매우 유사한 구조
○ 풀이 1. 포도당이 있으면 ATP가 많고, 그래서 cAMP가 적어 MalT가 적어짐. 그러므로 엿당 오페론이 발현 안 함
○ 풀이 2. 엿당 오페론은 (젖당 오페론과 유사하므로) 엿당 분해 효소를 암호화함. 포도당이 있을 때는 그걸 에너지원으로 이용하는 전략을 쓰고, 포도당이 없을 때야 비로소 엿당을 에너지원으로 이용해야 하므로 엿당 유도체가 있고 포도당이 없어야 엿당 오페론 발현
○ ㄴ : CAP이 있어야 malT 유전자가 발현하므로 양성 조절(positive regulation)
○ ㄷ : 이산화물억제란 분해산물(즉, 엿당 분해산물)이 오페론을 억제해 더 이상 분해효소를 발현하지 못하게 하는 것. 사실 이산화물억제가 전사인자 유전자 발현 조절뿐만 아니라 오페론 발현 조절에도 관여할 수 있으나, ㄱ과 ㄴ이 모두 틀리므로 ㄷ이 정답
14. 다음은 닭 배아에서 등측회로 또는 배쪽회로를 통해 이동하는 신경능선세포(neural crest cells)에 대한 자료와 실험이다. 이에 대한 설명으로 옳은 것만을 ⟨보기⟩에서 있는 대로 고른 것은?
⑴ 문제

⑵ 풀이 : ③
○ 조류 발생학 : 단, 이 문제는 단순 추론 문제이므로 암기사항은 없음
○ ㄱ : 신경능선세포가 Ephrin 수용체인 Eph가 있으므로 Ephrin이 있는 곳에 있을 것이라 예상하기 쉬우나 실험 결과를 보면 Ephrin이 없는 곳에 있는 것을 알 수 있음. 상식적으로 Eph가 Ephrin과 결합한다는 사실은 분명하므로, Eph가 Ephrin이 결합하게 되면 이동을 할 수 없다고 보아야 하며, 이때 "신경능선세포의 이동에는 fibronectin이 필요함" 정보를 결합하면 ㄱ 결론을 얻을 수 있음
○ ㄴ : 실험 결과와 대조해 보면 신경능선세포가 많은 (이동하는) 위치는 Ephrin이 없는 곳이므로 ⓑ 부위에만 Ephrin이 있음
○ ㄷ : 멜라닌 세포는 피부에 있으므로 표피와 진피근육분절 사이를 지나는 등축회로여야 함. 해당 부분은 양서류 발생학에서 암기사항처럼 다루지만 이 문제는 관련 설명이 이미 다 나와 있어서 암기할 사항은 아니었음
15. 다음은 어떤 파충류의 다리 재생을 알아본 실험이다. 이 실험에 대한 설명으로 옳은 것만을 ⟨보기⟩에서 있는 대로 고른 것은?
⑴ 문제

⑵ 풀이 : ④
○ 단순 추론 문제
○ ㄱ : 실험 (가)에서 신경이 없으면 크기가 작은 다리가 생기므로 신경은 세포 분열을 촉진
○ ㄴ : 실험 (나)를 보면 원래 연골세포에 있던 GFP가 근육에 나타나지 않으므로 맞는 설명
○ ㄷ : 실험 (다)를 보면 진피 섬유아세포는 연골세포와 진피 섬유아세포로 분화함을 알 수 있음. 단, 근육 세포로는 분화하지 않음
16. 다음은 pH 변화에 따른 글루타티온의 이온화에 대한 자료이다. 이 글루타티온에 대한 설명으로 옳은 것만을 ⟨보기⟩에서 있는 대로 고른 것은?
⑴ 문제

⑵ 풀이 : ⑤
○ ㄱ : 아래 그림에 중심탄소(Cα)와 아미노산 간 경계를 표시해 둠. 왼쪽 아미노산의 R기와 가운데 아미노산의 아민기가 아마이드 결합을 이루므로 글루타티온은 폴리펩타이드는 아님 (∵ 펩티드 결합은 중심 카르복실기와 아민기 간의 결합)

○ ㄴ : 핸더슨-하셀바흐 방정식에 의해 pH = 7 = pKa3 + log ([㉣] / [㉢]) = 8.7 - log ([㉢] / [㉣]) ⇔ [㉢] / [㉣] = 101.7이므로 맞는 설명
○ ㄷ : 등전점은 ㉡에 해당하므로 대칭성에 의해 pI = (pKa1 + pKa2) / 2 = 2.8
17. 다음은 동물 세포의 사멸 방식을 알아본 실험이다. 이에 대한 설명으로 옳은 것만을 ⟨보기⟩에서 있는 대로 고른 것은?
⑴ 문제

⑵ 풀이 : ③
○ 세포자살
○ ㄱ, ㄷ : 세포자살은 세포괴사와 달리 깔끔하고 (즉, 염증반응 없음) 체계적 (즉, Caspase-3 등 관여, DNA 절편화(= X)). 따라서 Ⅰ는 세포괴사, Ⅱ는 세포자살
○ ㄴ : 세포괴사인 Ⅰ는 세포가 터지는 상황으로 볼 수 있어 세포가 수축한다던가 하는 특수한 사정은 별로 없음
18. 다음은 이온채널 A의 특성을 알아본 실험이다. 이에 대한 설명으로 옳은 것만을 ⟨보기⟩에서 있는 대로 고른 것은? (단, 실험은 37℃에서 수행하였고, 이온채널 A는 열린 상태를 유지한다.
⑴ 문제

⑵ 풀이 : ②
○ 네른스트 방정식 : ΔE = ΔE° (=0 (∵ 농도차 전지)) - (0.0592 / n) log Q에서 나온 식으로 25 ℃ 대신 37 ℃를 고려하면서 62 mV라는 계수가 생김 (참고로, log Q의 계수는 RT / nF)
○ 골드만 평형식 : 여러 이온에 대한 네른스트 방정식. 투과도가 높은 화학종에 가깝게 평형전위가 형성
○ ㄱ, ㄴ, ㄷ
○ 풀이 1. 두 번째 실험을 보면 K+, Cl-가 농도 차이가 남에도 불구하고 전압차 0으로 평형이 유지되므로 이온채널 A는 K+, Cl-를 투과시키지 않음
○ 풀이 2. 골드만 평형식에서 투과성이 높은 화학종 대로 전위차가 따라가는데 두 번째 실험을 보면 전위차가 0이므로 K+, Cl-에 대한 투과도가 0임을 알 수 있음. 첫 번째 실험으로부터 Na+에 대한 투과도가 1임을 알 수 있음
○ 결론 : 풀이 1 또는 풀이 2로부터 ㉠ = 62 log(165 / 30) ≠ 62 mV임을 알 수 있고, ㉡ = 0임을 알 수 있음
○ 오답 풀이 : 두 번째 실험에서 0 mV인 것은 용액 Ⅰ과 용액 Ⅱ의 이온 농도 기울기가 이온채널에 의해 해소되었기 때문이라는 주장
○ 오답인 이유 1. 주어진 용액의 이온 농도는 초기 이온 농도가 아니라 최종 이온 농도
○ 오답인 이유 2. 이온채널은 1개의 이온만 통과시킬 수 있는데, K+, Cl-가 모두 통과한다는 의미이므로 생물학적으로도 틀림
○ ㄴ : K+는 이온채널 A에 의해 농도기울기가 해소되어 전압차가 0이 됨을 알 수 있음
19. 다음은 생쥐에서 바이러스에 대한 면역반응을 알아본 실험이다. 이 실험에 대한 설명으로 옳은 것만을 ⟨보기⟩에서 있는 대로 고른 것은? (단, LCMV 감염율은 품종 a와 b에서 동일하다.)
⑴ 문제

⑵ 풀이 : ①
○ 면역학
○ 관련 문제 : 2026 MDEET 26번
○ ㄱ : 만약 면역기억이 있다면 positive selection으로 비장세포 사멸이 유발되므로, 그렇지 않은 ㉢은 품종이 ㉠과 품종이 다름
○ ㄴ : CD8 림프구는 MHC class I에 제시된 항원을 인식하는데, 적혈구는 MHC class I이 없음 (∵ 세포소기관 부재) (암기사항). 그러므로 ?는 0이 되어야 함
○ ㄷ : MHC class II가 아니라 MHC class I 인식
20. 그림은 젖당분해효소(lactase)가 있는 사람 ㉠과 없는 사람 ㉡에게 포도당과 젖당을 경구 투여한 후, 혈당 농도와 장내 세균의 대사산물 농도 변화를 나타낸 것이다. 이에 대한 설명으로 옳은 것만을 ⟨보기⟩에서 있는 대로 고른 것은?
⑴ 문제

⑵ 풀이 : ①
○ ㄱ
○ 풀이 1. 장내 세균의 대사산물은 젖당 분해산물이므로 대사산물의 양 그래프를 보면 쉽게 알 수 있음
○ 풀이 2. ㉡의 경우 소화기관에서 젖당이 분해되지 않으므로 대장으로 들어가는 젖당의 양이 많아짐
○ ㄴ
○ 풀이 1. 장내 세균의 대사산물은 젖당 분해산물이므로 대사산물의 양 그래프를 보면 대장으로 가기 전부터 젖당의 양이 차이 남
○ 풀이 2. 락타아제(젖당 → 포도당 + 갈락토오스)는 십이지장 장액에 있음 (암기사항)
○ ㄷ : 장내 세균도 충분히 젖당을 분해할 수 있음. 다만, 젖당 불내성(lactose intolerance)이면 가스 및 설사 원인이 됨
○ 소장에서 락타아제 결핍 → 젖당 소화 불가 → 세균이 젖산 분해 → 가스 및 설사 원인
21. 다음은 다발성경화증에서 면역세포의 작용을 알아본 실험이다. 이 실험에 대한 설명으로 옳은 것만을 ⟨보기⟩에서 있는 대로 고른 것은? (단, 실험에 사용된 모든 생쥐는 유전적으로 동일하다.)
⑴ 문제

⑵ 풀이 : ④
○ ㄱ : ㉠과 ㉣은 거의 질환을 일으키지 않으므로 조절 T 림프구는 면역 억제. 사실 Treg의 면역 억제는 암기 사항
○ ㄴ : Th17 림프구는 CD4+ RORγT+로 물질 X에 의해 CD4 T 림프구 내 비율이 40%에서 20%로 감소
○ ㄷ : Treg으로 인해 질환이 거의 없으므로 림프구에 의한 작용임을 알 수 있음. 그 중에서도 Th17 림프구에 의해 질환이 매우 심하게 나타나므로 미엘린은 Th17 림프구의 작용이 있어야 질환을 일으킨다고 할 수 있음. 참고로, 다발성 경화증은 자가면역질환임이 잘 알려져 있어서 (암기사항), 주입된 미엘린을 항원으로 하여 2차 면역반응이 일어나서 T 림프구가 신경 축삭을 감싸는 미엘린을 공격하게 됨
22. 다음은 병원에 온 46세 여자에 대한 검사 자료이다. 이 여자는 머리를 다친 후 갈증이 심해 물을 계속 마셨고 소변량이 증가하였다. 이 여자에서 소변량이 증가한 원인으로 가장 적절한 것은?
⑴ 문제

⑵ 풀이 : ②
○ 항이뇨호르몬 분비가 문제가 생긴 것이므로 항이뇨호르몬이 분비되는 뇌하수체 후엽이 손상된 것
○ 갈증은 원인이 아니라 결과임
23. 다음은 어떤 집안의 ABO식 혈액형과 두 가지 유전병 ㉠, ㉡에 대한 자료이다. 이 자료에 대한 설명으로 옳은 것만을 ⟨보기⟩에서 있는 대로 고른 것은?
⑴ 문제

⑵ 풀이 : ⑤
○ ABO 혈액형 (공동 우성)
○ ㄱ, ㄴ : (나)가 O형이 되려면 가계도에 나와 있는 모든 A형의 유전자형은 AO가 돼야 함. 유전병 ㉠이 있는 부부 사이에 유전병 ㉠이 없는 자손이 태어나므로 유전병 ㉠은 우성 질환. 유전병 ㉡이 없는 부부 사이에 유전병 ㉡이 있는 자손이 태어나므로 유전병 ㉡은 열성 질환. 이를 바탕으로 다음과 같이 유전자형을 결정할 수 있음
○ I-1 : AB, P*P*, Q*Q*
○ I-2 : OO, PP*, Q_
○ I-3 : AO, P*P*, QQ*
○ I-4 : AB, P_, QQ*
○ II-1 : AO, P*P*, QQ*
○ II-2 : BO, PP*, QQ*
○ II-3 : AO, PP*, Q*Q*
○ III-1 : OO, P*P*, QQ*
만약 ㄱ이 맞다면 III-1, II-2, I-2, I-1 순으로 훑을 때 I-1에 P 유전자 인자가 존재해야 하는 모순이 생긴다. 따라서 ㄱ은 틀리다.
○ ㄷ : (㉠이 나타나고 ㉡이 나타나지 않을 확률) = (3/4) × (1/2), (㉠이 나타나지 않고 ㉡이 나타날 확률) = (1/4) × (1/2)이므로 이 둘을 합하면 1/2
24. 다음은 어떤 세포에서 유전자 A의 발현에 물질 X와 Y가 미치는 영향을 알아보기 위한 실험이다. 이 실험에 대한 설명으로 옳은 것만을 ⟨보기⟩에서 있는 대로 고른 것은?
⑴ 문제

⑵ 풀이 : ①
○ β-actin은 house keeping gene으로 웨스턴 블롯의 신뢰성을 보여줌
○ ㄱ : ㉠ 실험군 대비 ㉡ 실험군에서 A mRNA 및 단백질이 증가하므로 맞는 설명
○ ㄴ : ㉢ 실험군을 보면 그렇게 생각할 수도 있지만, ㉣ 실험군을 같이 보면 Y의 단백질 발현 억제는 단백질 분해에 있음을 알 수 있음
○ ㄷ : mRNA 양 자체는 ㉠과 동일할 것
25. 다음은 시험관 단백질 합성시스템(in vitro translation system)을 이용하여 tRNA의 기능을 알아본 실험이다. 이에 대한 설명으로 옳은 것만을 ⟨보기⟩에서 있는 대로 고른 것은? (단, 단백질 합성시스템에 포함된 다른 tRNA에 의한 간섭 효과는 고려하지 않으며, 실험에 이용한 mRNA에는 아미노산을 암호화하는 코돈이 모두 존재한다.)
⑴ 문제

⑵ 풀이 : ④
○ ㄱ : ㉠은 3'-GAC-5' ≡ 5'-CAG-3' 코돈에 대응되는 글루타민(Gln)
○ ㄴ : ㉡은 3'-GGC-5' ≡ 5'-CGG-3' 코돈에 대응되는 아르지닌(Arg)
○ ㄷ : 알라닌과 글루타민은 전하를 띠는 아미노산이 아니므로 순전하가 동일할 수밖에 없음. 참고로,
○ 전하 아미노산 (+) : Arg, His, Lys
○ 전하 아미노산 (-) : Asp, Glu
26. 그림은 정상인에게 포도당을 투여한 후 혈중 인슐린 농도와 혈당 농도의 변화를 나타낸 것이다. ㉠과 ㉡은 포도당을 각각 경구 투여했을 때와 정맥 투여했을 때 얻은 혈중 인슐린 농도의 변화 중 하나이다. 이 실험 조건에서 두 가지 투여 경로에 의한 혈당 농도의 변화는 동일하였다. 이에 대한 설명으로 옳은 것만을 ⟨보기⟩에서 있는 대로 고른 것은?
⑴ 문제

⑵ 풀이 : ⑤
○ ㄱ, ㄷ : 단당류가 만드는 소장 내 높은 삼투 농도 → GIP가 이자를 자극 → 인슐린 분비 촉진
○ ㄴ : 1형 당뇨병 환자는 유전적으로 췌장 베타세포가 없어 인슐린 생산 불가
27. 다음은 미각 수용기 세포에서 맛 감지 기전을 알아본 실험이다. 이에 대한 설명으로 옳은 것만을 ⟨보기⟩에서 있는 대로 고른 것은? (단, EGTA는 세포막을 통과하지 않는다.)
⑴ 문제

⑵ 풀이 : ④
○ ㄱ : 포도당 + 식염수 조건에서 신호전달에 관여하는 칼슘이온이 증가하므로 맞는 설명
○ ㄴ : 단맛 미각 수용기는 포도당이 주어지면 활면소포체에서 Ca2+가 세포질로 분비되는 것이 주 경로이지만 소포체 Ca2+가 빠지면, 그걸 채우려고 세포외 Ca2+가 세포질로 유입되는 경로도 흔히 같이 따라옴
○ ㄷ : 미각 수용기와 같은 특수감각수용체는 신경전달물질을 방출하여 감각뉴런에서 활동전위를 시작하게 함. 활동전압을 필요로 하진 않음
28. 다음은 측중격핵(nucleus accumbens)의 신경회로 연결 관계를 알아본 실험이다. 이에 대한 설명으로 옳은 것만을 ⟨보기⟩에서 있는 대로 고른 것은?
⑴ 문제

⑵ 풀이 : ④
○ ㄱ, ㄴ : 처리한 약물이 없을 때 자외선으로 ㉠, ㉡에 활동전압을 유발한 것으로 ㄷ을 흥분시키므로 ㄱ, ㄴ은 흥분성. 대표적인 억제성 뉴런 수용체인 GABA에 대한 억제제에 반응하지 않는다는 사실로 간접적으로 위를 확인할 수 있음. 참고로, AMPA는 장기기억형성(LTP)에 관여하는 수용체인데 이 문제에서는 흥분성처럼 해석할 수 있을 듯
○ ㄷ : 맞는 설명
29. 다음은 염기의 토토머 변환(tautomeric shift)에 의해 돌연변이가 일어나는 기전에 대한 자료이다. 이에 대한 설명으로 옳은 것만을 ⟨보기⟩에서 있는 대로 고른 것은? (단, DNA 수선은 고려하지 않는다.)
⑴ 문제

⑵ 풀이 : ③
○ ㄴ : (나)를 보면 (가)의 각 염기와 닮은 화합물이 없으므로 (나)의 각 염기는 시토신(왼쪽, 피리미딘)과 아데닌(오른쪽, 퓨린)임을 알 수 있음. 주어진 정보에 의하면 원래는 아미노형이었다가 이미노형이 되는데, 아미노기는 R-NH2 형태이고 이미노기는 R1-C(=NR3)-R2 형태이므로 시토신은 이미노형, 아데닌은 아민형 (변화 없음)

○ 원래 아데닌 형태

○ 원래 구아닌 형태

○ 원래 티민 형태

○ 원래 시토신 형태

○ ㄱ : 문제에서 주어진 상황은 변형된 피리미딘으로 인해 잘못된 퓨린이 오게 되므로 퓨린이 다른 퓨린이 되는 돌연변이
○ 염기전이(transition) 돌연변이 : 퓨린이 다른 퓨린, 피리미딘이 다른 피리미딘이 되는 돌연변이
○ 염기전환(transversion) 돌연변이 : 퓨린이 피리미딘, 피리미딘이 퓨린이 되는 돌연변이
○ ㄷ : 토토머 변환 (= 가역 변환) → 1회 복제 (1개의 mismatched base 생성) → 2회 복제 (1쌍의 안정적인 점돌연변이 생성). 즉, 변형된 피리미딘으로 인해 잘못된 퓨린이 오게 되고, 잘못된 퓨린과 상보적인 피리미딘이 오게 되면서 점돌연변이가 형성됨
30. 다음은 제브라피쉬 배아에서 Nodal 단백질의 역할을 알아본 실험이다. 이에 대한 설명으로 옳은 것만을 ⟨보기⟩에서 있는 대로 고른 것은? (단, 모든 실험에서 주입한 Nodal mRNA의 양은 동일하다.)
⑴ 문제


⑵ 풀이 : ③
○ 단순 추론 문제
○ ㄱ : 실험 Ⅰ을 보면 농도 의존적으로 Gsc, Fh, Nt 발현을 형성하므로 Nodal 단백질이 세포 밖으로 분비된 뒤 확산에 의해 농도 기울기를 형성함을 알 수 있음
○ ㄴ : Nodal 단백질이 확산에 의해 인접 세포에 영향을 주므로 Nodal 수용체가 없는 세포 B의 존재가 ㉠ 세포의 운명에 영향을 주지 않음
○ ㄷ : 세포 B는 Nodal 수용체가 없을 뿐이지 충분히 Nodal 단백질을 생성하여 인접 세포에 영향을 줄 수 있어 ㉡ 위치에서 Gsc 생성
입력: 2026.01.12 21:19
'▶ 자연과학 > ▷ MEET∙DEET∙PEET 풀이' 카테고리의 다른 글
| 【생물학】 2023 PEET 생물학 (0) | 2025.12.26 |
|---|---|
| 【생물학】 2024 MEET/DEET 생물학 (0) | 2025.12.24 |
| 【생물학】 2025 MEET/DEET 생물학 (0) | 2025.12.24 |
| 【생물학】 2026 MEET/DEET 생물학 (0) | 2025.12.23 |
| 【화학】 2011 ~ 2019년 PEET 화학 물리화학적 성질 문제 (0) | 2025.11.27 |


최근댓글